Dog Tooth Decay Stages Every Pet Owner Should Know

close up image of old dog's mouth with severe dental disease

You might notice a little bad breath or a bit of tartar on your dog’s teeth and assume it is minor, but the dog tooth decay stages tied to periodontal disease often begin quietly and progress long before obvious pain appears. Many families tell us they only realized something was wrong after treatment, when their…

Read More

Dog Tooth Abscess: Is This an Emergency?

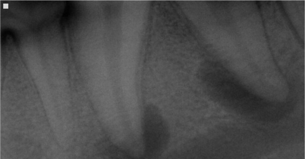
molar abscess radiograph

In general, a dog with a tooth abscess often requires urgent veterinary attention, but it is not usually life-threatening. We see many dogs arrive with facial swelling, hidden pain, or subtle behavior changes that trace back to an infected tooth. A tooth abscess forms when bacteria enter the inner structures of a tooth and create…

Read More

Why a Board Certified Veterinary Dentist® Matters for Your Pet’s Oral Health

veterinarian examining mouth of gray and white long-haired cat

A Board Certified Veterinary Dentist® offers a level of expertise that directly shapes your pet’s comfort, function, and long-term oral health. At Veterinary Dental Services, we see how specialized dental training can transform outcomes for pets whose oral issues extend beyond routine care. The mouth influences eating habits, behavior, and overall wellness, yet dental disease…

Read More

A Nose for Trouble: Ankor’s Story

image of ankor the dog with the veterinary dental services logo

Hello there! I’m Sunny, your friendly yellow tang and full-time lobby lookout here at Veterinary Dental Services. While I spend most of my day swimming in stylish circles and charming the clients, I also keep an eye on everything happening around here. And let me tell you, the things I’ve seen would really make your…

Read More

Molly’s Million-Dollar Smile

image of molly the dog with the veterinary dental services logo

Hi again! Sunny here, still floating in my favorite coral corner of the tank and keeping tabs on the comings and goings of our furry guests. This week, I’m excited to tell you about Molly. She’s a 7-year-old boxer with the kind of personality that lights up the whole room. Molly has a condition called…

Read More

My Dog Broke Their Tooth in Boxborough, MA – What Should I Do?

dog laying on the floor next to a bowl of crunchy dog food

We address all kinds of oral health problems in pets, and a dog with a broken tooth is an all-too-common case. It’s not hard to guess why, because dogs like to chew—and they’re not picky about what they chew! In any event, a broken tooth (or worse, several broken teeth) can become a serious health…

Read More

Identifying and Treating Cat and Dog Tooth Abscesses in Boxborough, MA

veterinarian checking a dogs teeth

Our pets can be prone to cavities, gingivitis, dental disease, and tooth root abscesses just like we can. A tooth abscess is an especially unpleasant, deep-seated oral condition, for which clinical signs may not be immediately obvious. Dogs and cats alike are skilled at concealing symptoms of disease and injury, and this can often result…

Read More

Why are My Dog’s Gums Swollen in Boxborough, MA?

dog laying on the floor with his head on his front paws

Gingivitis, gingival enlargement or gingival hyperplasia are medical conditions in which a dog’s gum tissue becomes inflamed and enlarged. When a dog’s gums are swollen, it is typically caused by irritation due to dental plaque or other bacterial growth along the gum line. Periodontal Disease Periodontal disease is something that affects many dogs. Here are…

Read More

Is Dog Gingivitis in Boxborough, MA Permanent?

dog laying down and eating dog food off of a plate

Many pet owners are not aware that dogs can have problems with their teeth just like people. Most pet owners don’t provide daily brushing or other care for their dog’s teeth because they are not aware that this can be a big benefit to their overall health. If your dog has been diagnosed with gingivitis,…

Read More